क्यों होती है मसूड़ों में झनझनाहट ?
Source:
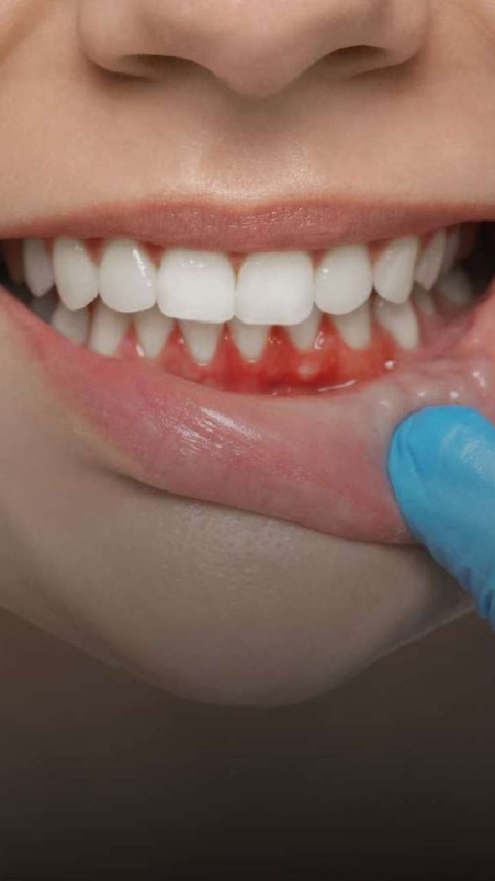
अगर आपको दांतों और मसूड़ों में तेज दर्द महसूस होता है, तो यह भी डेंटल सेंसिटिविटी का लक्षण हो सकता है। ऐसे में इसे नजरअंदाज न करें।
Source:
बहुत ज्यादा मीठा खाने से भी मसूड़ों में जलन और झनझनाहट हो सकती है। ऐसे में मीठे का सेवन सीमित मात्रा में करें।
Source:
दांतों में कैविटी या सड़न की वजह से भी दर्द और झनझनाहट हो सकती है। इस स्थिति में किसी डेंटिस्ट से संपर्क करें।
Source:
कभी-कभी पहले कराए गए डेंटल ट्रीटमेंट के बाद भी मसूड़ों में दर्द की समस्या हो सकती है। ऐसे में भी डेंटिस्ट से दोबारा सलाह लेना जरूरी होता है।
Source:
कई बार मौसम के बदलाव, खासकर गर्मियों में, दांतों और मसूड़ों में दर्द या झनझनाहट महसूस होने लगती है। बहुत अधिक ठंडा पानी पीना या ठंडी चीजें खाना इस समस्या को बढ़ा सकता है।
Source:
कभी-कभी गलत टूथपेस्ट या हार्ड ब्रश के इस्तेमाल से भी मसूड़ों में दर्द और जलन होने लगती है। ऐसे में हमेशा सॉफ्ट ब्रिसल वाला ब्रश और संवेदनशील दांतों के लिए सही टूथपेस्ट का इस्तेमाल करें।
Source:
Thanks For Reading!
2026 में इन 5 इंडियन खिलाड़ियों का विश्व में बजेगा डंका!
Find Out More
Find Out More
Opening
/webstories/sports/2026-में-इन-5-इंडियन-खिलाड़ियों-का-विश्व-में-बजेगा-डंका/2005